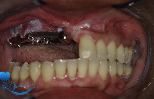
دندان مصنوعی بر پایه ایمپلنت چیست؟ دندان مصنوعی بر پایه ایمپلنت (که در اصطلاح علمی به آن Overdenture گفته میشود)…
مقدمه از دست دادن دندانهای جلو میتواند تأثیر عمیقی بر زندگی روزمره، اعتماد به نفس و کیفیت زندگی شما داشته…
نقش اپلیکیشنها، ابزار هوشمند و تلهمدیسین در افزایش سلامت ایمپلنت دندانی دیگر قرار نیست مراقبت از ایمپلنتها کاری سخت یا…
توسط دکتر محمدامین روشن پور، دندانپزشک و فلوشیپ تخصصی ایمپلنت رویای داشتن لبخندی کامل و بازیابی توانایی جویدن طبیعی با…
چرا دندانهای آسیاب (مولر) اینقدر مهم هستند؟ تصور کنید خانهای را که فقط دیوارهای جلویی دارد اما ستونهای پشتیبان ندارد.…
لبخند زیبا با طراحی اصولی بهدست میآید و درمانهای عجولانه و موقتی در این زمینه کارساز نیستند. طراحی لبخند حرفهای…
مقدمه: شاید شما هم با شنیدن نام “عصب کشی” یا “درمان ریشه”، ناخودآگاه احساس نگرانی یا حتی ترس کنید. درد…
ایمپلنت دندان یک گزینه درمانی پیشرفته برای جایگزینی دندانهای از دست رفته است که امروزه در بسیاری از بیماران مورد…
ایمپلنت دندان یکی از پیشرفتهترین و مؤثرترین روشها برای جایگزینی دندانهای از دست رفته است. این روش درمانی برای بسیاری…
ایمپلنت دندانی یکی از روشهای مؤثر برای جایگزینی دندانهای از دست رفته است که در آن یک پلیت تیتانیومی به…
ایمپلنت دندانی یکی از پیشرفتهترین و مؤثرترین روشهای درمانی برای جایگزینی دندانهای از دست رفته است. این روش به دلیل…
ایمپلنتهای پزشکی بهعنوان یکی از روشهای متداول در جایگزینی بافتها یا اندامهای از دست رفته یا آسیبدیده به کار میروند.…
در عصر مدرن، ایمپلنت دندان به یک راه حل متداول برای جبران دندانهای از دست رفته تبدیل شده است. اما…
ایمپلنت دندان یکی از روشهای دائمی و مؤثر برای جایگزینی دندانهای از دسترفته است. اما با وجود دوام بالا، ممکن…
ایمپلنت دندان یکی از بهترین روش های جایگزینی دندان های ازدست رفته است که ظاهری طبیعی و عملکردی مشابه دندان…
ایمپلنت دندان یکی از بهترین روشهای جایگزینی دندانهای از دست رفته است که به دلیل ماندگاری بالا، ظاهر طبیعی و…
ایمپلنتهای دندانی در دنیای مدرن به عنوان راهکاری موثر و ماندگار در جایگزینی دندانهای از دست رفته شناخته میشوند. این…
ایمپلنت دندان به دلیل دوام و ظاهر طبیعی خود، به شدت بین افراد محبوب شده است. اما یکی از سوالات…
در دنیای مدرن پزشکی و دندانپزشکی، ایمپلنتهای دندانی به یکی از محبوبترین راهحلهای جایگزینی دندانهای از دست رفته تبدیل شدهاند.…
ایمپلنت دندان یکی از رایجترین روشهای جایگزینی دندانهای از دست رفته است که با موفقیت بالایی همراه است. با این…

