قیمت انواع ایمپلنت دندان در مرکز دندانپزشکی دکتر روشن پور در اصفهان چقدر است؟
همیشه قیمت و هزینه های ایمپلنت از دغدغه های مهم برای مراجعه کنندگان این خدمت میباشد.برای مشاهده قیمت به روز ایمپلنت در این مقاله همراه ما باشید.
قیمت ایمپلنت در سال ۱۴۰4 اصفهان مختلف است و به عوامل مختلفی بستگی دارد که این عوامل در قیمت نهایی ایمپلنت اثرگذار هستند
هزینه ایمپلنت در اصفهان 1404 از قیمت 16000000 تومان تا 30000000 تومان متغیر است.امکان پرداخت اقساطی و شرایطی در مطب دکتر روشن پور فراهم است.
در مرکز دندانپزشکی دکتر محمدامین روشن پور از ایمپلنت های درجه یک کره ای و آلمانی و سوئیسی استفاده میشود و ایمپلنت های ایرانی فعلا مورد تایید این مرکز نمیباشند
لیست قیمت ایمپلنت جدید است و دائما در حال بروزرسانی میباشد
بروزرسانی شهریور 1404(september 2025)
ایمپلنت دندان چیست؟
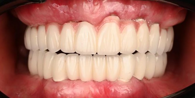
ایمپلنت دندان (Dental implant) پیشرفته ترین و مطمئن ترین روش جاگزینی یک یا چند دندان از دست رفته است
ایمپلنت های دندانی یا همان میله های باریکی که از جنس تیتانیوم هستند که وارد استخوان فک می شوند؛ امروزه بهترین جایگزینی به شمار می آیند که برای دندان های از دست رفته مورد استفاده قرار می گیرند. با توجه به ماندگاری بالای آن هاست که استفاده های زیادی از ایمپلنت ها می شود.
قیمت ایمپلنت دندان نسبت به دیگر روش های دیگریکه برای جایگزینی دندان از دست رفته وجود دارد کمی بالاتر است ولی در عوض طول عمر بالاتر و دوام ماندگاری بیشتری دارد.
هزینه هر واحد ایمپلنت چقدر است؟
قیمت و هزینه هر واحد ایمپلنت دندان در اصفهان براساس برند ایمپلنت دندان و تعداد ایمپلنت و کیفیت مواد استفاده شده مشخص می شود هزینه هر واحد ایمپلنت در سال 1404 از 17 میلیون تا 30 میلیون تومان و هزینه هر واحد ایمپلنت باکیفیت سوئیسی با روکش تمام سرامیکی 30.000.000 میلیون تومان هزینه بهترین ایمپلنت دندان می باشد.
هزینه کاشت ایمپلنت شامل هزینه پایه(fixture) ایمپلنت دندان ، هزینه درمان های جانبی ایمپلنت مثل پیوند استخوان یا سینوس لیفت ،هزینه لابراتوار ساخت روکش و دستمزد متخصص ایمپلنت می باشد که باید از تمامی این هزینه ها آگاه باشید.
در ادامه در جدولی هزینه های ایمپلنتی که در مرکز دکتر محمدامین روشن پور کار می شود را برایتان قرارداده ایم
جدول تعرفه ایمپلنت با روکش در سال 1404 در اصفهان
جدول زیر هزینه صفر تا صد یک واحد پایه و روکش ایمپلنت میباشد.
| نام ایمپلنت | قیمت | ضمانت کتبی |
|---|---|---|
| ایمپلنت کرهای بایوتم | 20,000,000 | ۲۰ سال |
| ایمپلنت آلمانی ICX | 23,000,000 | ۱۵ سال |
| ایمپلنت نئودنت برزیل | 21,000,000 | ۱۰ سال |
| ایمپلنت Bego آلمان | 24,000,000 | ۱۰ سال |
| ایمپلنت سوئیسی Roott | 25,000,000 | مادامالعمر |




هزینه ایمپلنت اقساطی در اصفهان
یکی از عوامل مهم در تصمیم گیری برای کاشت دندان، آگاهی از قیمت ایمپلنت فوری است. ایمپلنت فوری روشی پیشرفته است که در آن کشیدن دندان و کاشت ایمپلنت در یک جلسه انجام می شود و زمان درمان را به طرز چشمگیری کاهش می دهد. این روش برای افرادی که به دنبال نتیجه سریع و زیبایی فوری هستند، مناسب است. در سایت دکتر روشن پور، می توانید اطلاعات دقیق در مورد هزینه ها و برندهای معتبر مانند کره ای و سوئیسی را بررسی کرده و با مشاوره تخصصی، بهترین گزینه را انتخاب کنید.
برای افرادی که به دنبال جایگزینی دندان از دست رفته هستند، اطلاع از قیمت ایمپلنت دندان اصفهان اهمیت زیادی دارد. هزینه ایمپلنت در اصفهان بسته به عواملی مانند برند ایمپلنت، تعداد دندان ها و نیاز به درمان های جانبی مانند پیوند استخوان متفاوت است. در سایت دکتر روشن پور، قیمت های به روز و شفاف همراه با امکان پرداخت اقساطی ارائه شده تا بیماران بتوانند با اطمینان خاطر اقدام به درمان کنند.
درک هزینه ایمپلنت دندان اصفهان به برنامه ریزی مالی برای درمان کمک می کند. هزینه های ایمپلنت شامل قیمت پایه، روکش و خدمات جانبی مانند جراحی یا تصویربرداری است. استفاده از برندهای باکیفیت و تجهیزات پیشرفته می تواند روی هزینه تأثیر بگذارد. در سایت دکتر روشن پور، اطلاعات جامعی در مورد عوامل مؤثر بر هزینه ها و شرایط پرداخت ارائه شده تا انتخابی آگاهانه داشته باشید.
هزینه ایمپلنت اقساطی اصفهان، همانند سایر شهرهای ایران، تحت تأثیر عوامل متعددی قرار دارد و نمیتوان یک قیمت ثابت برای آن تعیین کرد. از جمله مهمترین عوامل مؤثر بر هزینه ایمپلنت میتوان به برند ایمپلنت، تعداد ایمپلنت مورد نیاز، کیفیت مواد استفاده شده، نیاز به درمانهای جانبی مانند پیوند استخوان یا سینوس لیفت، و دستمزد دندانپزشک متخصص اشاره کرد. در سال 1404، هزینه هر واحد ایمپلنت در اصفهان میتواند از 17,000,000 تومان تا 30,000,000 تومان متغیر باشد. برای مثال، هزینه یک واحد ایمپلنت باکیفیت سوئیسی همراه با روکش تمام سرامیکی حدود 30,000,000 تومان برآورد میشود.
شرایط پرداخت اقساطی در مطب دکتر محمدامین روشن پور
در مطب دکتر محمدامین روشن پور در اصفهان، ارائه خدمات ایمپلنت دندانی به صورت اقساطی انجام میشود تا بیماران محترم بدون نگرانی از هزینههای بالا، بتوانند از درمانهای تخصصی بهرهمند شوند. شرایط پرداخت اقساطی بر اساس مبلغ کل هزینه درمان به شرح زیر است:
1. هزینه کمتر از ۵۰ میلیون تومان
- پرداخت ۵۰٪ نقد و ۵۰٪ باقیمانده به صورت اقساط در طی 2 تا 3 ماه
در این حالت، بیمار نیمی از مبلغ کل را نقداً پرداخت میکند و مابقی هزینه را در دو یا سه قسط مساوی ماهیانه تسویه مینماید.
2. هزینه بین ۵۰ تا ۱۰۰ میلیون تومان
- پرداخت ۵۰٪ نقد و ۵۰٪ باقیمانده در طی ۴ ماه به صورت اقساط
در این حالت نیز نیمی از مبلغ به صورت نقد دریافت میشود و نیم دیگر در چهار قسط مساوی ماهیانه پرداخت میشود.
3. هزینه بالاتر از ۱۰۰ میلیون تومان
دو طرح پرداخت اقساطی برای بیماران عزیز در نظر گرفته شده است:
- طرح اول: پرداخت ۵۰٪ نقد و ۵۰٪ مابقی در طی ۶ ماه به صورت اقساط ماهیانه
این روش مناسب بیمارانی است که بخواهند نیمی از مبلغ را ابتدا و مابقی را طی شش ماه پرداخت کنند تا فشار مالی کمتری داشته باشند.
- طرح دوم: پرداخت کل مبلغ در ۵ قسط مساوی طی ۵ ماه
این گزینه ویژه بیمارانی است که ترجیح میدهند کل مبلغ را به صورت پنج قسط مساوی ماهیانه بدون پرداخت اولیه واریز کنند.
در مطب دکتر محمدامین روشن پور، خدمات ایمپلنت دندانی به صورت اقساطی ارائه میشود تا بیماران بتوانند بدون نگرانی از هزینههای بالا، از این خدمات بهرهمند شوند. در شرایطی که کل هزینه درمان بالاتر از 100 میلیون تومان باشد دو طرح پرداخت اقساطی برای بیماران در نظر گرفته شده است.
شرایط استفاده از چک صیادی
برای بهرهمندی از طرحهای پرداخت اقساطی، تنها به چک صیادی ثبتی نیاز است. این چکها که به عنوان چکهای بنفش صیادی شناخته میشوند، به راحتی امکان پرداخت اقساطی را فراهم میکنند. این روش پرداخت، فرآیند مالی را برای بیماران سادهتر و دسترسی به خدمات را آسانتر میسازد.
توجه به شرایط اقتصادی جامعه
با توجه به شرایط اقتصادی جامعه و فشارهای اقتصادی سنگین، ارائه خدمات ایمپلنت به صورت اقساطی در اصفهان یک ضرورت است. این شرایط اقساطی به بیماران کمک میکند تا بدون نگرانی از هزینههای بالا، به سلامت و زیبایی دندانهای خود بپردازند. ایمپلنت اقساطی کردن نه تنها یک راهحل مالی مناسب است، بلکه به عنوان یک سرمایهگذاری مطمئن در سلامت و کیفیت زندگی بیماران محسوب میشود.
خدمات جامع ایمپلنت در اصفهان در مرکز ایمپلنت دکتر روشن پور
در مطب دکتر روشن پور، ایمپلنتهای کامل فک بالا و پایین به صورت اقساطی تا 6 ماه انجام میشود. این خدمات نه تنها برای ایمپلنتهای کامل، بلکه برای تعداد ایمپلنتهای کمتر نیز قابل ارائه است. این انعطافپذیری در پرداخت، به بیماران کمک میکند تا بدون نگرانی از هزینهها، به بهبود کیفیت زندگی خود بپردازند.
دسترسی به خدمات ایمپلنت اقساطی در اصفهان، به ویژه در مطب دکتر محمدامین روشن پور، فرصتی استثنایی برای بیمارانی است که به دنبال راهحلی مقرونبهصرفه و با کیفیت برای جایگزینی دندانهای خود هستند. برای مشاوره و دریافت اطلاعات بیشتر، میتوانید با مطب تماس بگیرید و از خدمات حرفهای و متعهدانه بهرهمند شوید.
| مبلغ کل درمان | شرایط پرداخت | توضیحات |
|---|---|---|
| کمتر از ۵۰ میلیون تومان | ۵۰٪ نقد + ۵۰٪ طی ۳ ماه | نیمی نقد، نیمی در ۳ قسط ماهانه |
| بین ۵۰ تا ۱۰۰ میلیون تومان | ۵۰٪ نقد + ۵۰٪ طی ۴ ماه | نیمی نقد، نیمی در ۴ قسط ماهانه |
| بالای ۱۰۰ میلیون تومان | ۵۰٪ نقد + ۵۰٪ طی ۶ ماه | نیمی نقد، نیمی در ۶ قسط ماهانه |
| پرداخت کامل در ۵ قسط ماهانه | پرداخت کل هزینه در ۵ قسط مساوی |
با انتخاب شرایط پرداخت مناسب، تجربه درمانی آسوده و بدون دغدغه مالی را در مطب دکتر محمدامین روشن پور تجربه کنید.



مزایا ایمپلنت دندان در اصفهان:
کاشت ایمپلنت دندان معمولاً به عنوان یک راه حل دائمی و بهترین روش برای جایگزینی دندانهای از دست رفته در نظر گرفته میشود و دارای مزایای زیادی است. در زیر به برخی از مزایای کاشت ایمپلنت و دلایل ارزش هزینه کردن آن اشاره میکنم:
- دوام و ماندگاری: ایمپلنتها معمولاً طول عمر بیشتری نسبت به دندانهای مصنوعی(فلیپر) یا بریجها دارند و میتوانند برای سالها یا حتی دههها دوام بیاورند.
- حفظ استخوان فک: کاشت ایمپلنت به حفظ استخوان فک کمک میکند و از تحلیل رفتن استخوان جلوگیری میکند که معمولاً پس از از دست دادن دندان اتفاق میافتد.
- عملکرد غذایی و گفتاری: ایمپلنتها بسیار زیاد شبیه به دندانهای طبیعی بوده و به فرد اجازه میدهند به راحتی غذا بخورد و صحبت کند.
- زیبایی ظاهری: ایمپلنتها به طور طبیعی در دهان قرار میگیرند و بهبود زیبایی ظاهر لبخند را فراهم میکنند.
- راحتی: برخلاف دندانهای مصنوعی که ممکن است در برخی موارد ناراحتکننده باشند، ایمپلنتها دائماً در دهان قرار دارند و نیاز به جابجا کردن ندارند.
البته باید توجه داشت که هزینه کاشت ایمپلنت میتواند بالا باشد و این مسئله به عوامل مختلفی شامل نوع ایمپلنت، محل کلینیک، هزینههای پزشکی مختلف و نیازهای خاص استخوان فرد بستگی دارد. همچنین وضعیت سلامتی شخص و نیاز به درمانهای اضافی نیز میتواند بر هزینه تأثیر بگذارد.
به طور کلی، اگر فردی دارای شرایط مناسب برای کاشت ایمپلنت باشد و بتواند هزینه آن را پرداخت کند، این روش معمولاً به عنوان یک سرمایهگذاری مطلوب در بهداشت دهان و دندان و کیفیت زندگی به حساب میآید. مشاوره با بهترین دکتر ایمپلنت اصفهان دکتر روشن پور میتواند کمک کننده باشد تا تصمیم بهتری گرفته شود.












قیمت و هزینه های جانبی ایمپلنت در سال 1404 در اصفهان
قیمت ایمپلنت در اصفهان از 17,000,000 تا 30,000,000 تومان می باشد که فقط قیمت پایه و روکش فلزی یا سرامیکی ایمپلنت است و باید هزینه های جانبی ایمپلنت را در نظر بگیرید تا قیمت نهایی ایمپلنت مشخص شود.
هزینه جانبی ایمپلنت دندان یکی از فاکتورهایی است که برای تعیین قیمت نهایی ایمپلنت باید توجه داشته باشید.. هزینه های جانبی ایمپلنت شامل هزینه درمان های جانبی ایمپلنت (سینوس لیفت – جراحی لثه – پیوند استخوان-پونتیک) و دستمزد متخصص ایمپلنت می شود.
هرکدام از درمان های جانبی ایمپلنت هزینه های جداگانه و خاص خود را دارند که باید به هزینه ایمپلنت دندان اضافه شوند. در ادامه جدول هزینه های جانبی ایمپلنت را مشاهده کنید.
قبل از مشاهده جدول هزینه های جانبی ایمپلنت دندان پیشنهاد میکنیم برای مشاوره تلفنی و دریافت وقت ویزیت و انجام کار در مرکز دندانپزشکی دکتر روشن پور ازطریق فرم زیر شماره تماس خود را ثبت کنید تا کارشناسان ما با شما تماس بگیرند.
- اصفهان - خیابان توحید میانی - کوچه 12 -پلاک 19- واحد 4
- 09399016714
- 09001914080
- aminroshanpoor1@gmail.com




زمان کاشت ایمپلنت(فیکسچر)
اگر فقط به کاشت یک واحد ایمپلنت دندان نیاز دارید عمل کاشت پایه ایمپلنت در یک جلسه و کمتر از 15 دقیقه انجام خواهد شد اما اگر تعداد ایمپلنت افزایش یابد زمان جلیه هم بیشتر میشود به طوری که یک فک کامل را در حدود یک ساعت و نیم زمان لازم است
همچنین درمان های جانبی ایمپلنت دندان(مثل پیوند استخوان یا لثه یا سینوس لیفت) گاها با توجه به وضعیت فک و استخوان بیمار ممکن است لازم شود، و جلسه درمانی زمان بیشتری ببرد.
سینوس لیفت
قیمت ایمپلنت کامل در اصفهان(بازسازی کامل فک بالا و پایین)
یک ایمپلنت ۳۲ دندانی (ایمپلنت کامل فک بالا و پایین) یک روش درمانی است که به بیمارانی که هیچ دندانی ندارند اعمال میشود. این روش به افرادی که تمام دندانهای خود را از دست دادهاند، امکان بازگرداندن مجموعهای از دندانهای سالم را میدهد.
به طور معمول، ۶ تا ۱۲ ایمپلنت به فردی که هیچ دندانی ندارد، کاشته میشود. این ایمپلنتها به صورت توزیع شده، با ۴ تا ۸ ایمپلنت در فک بالا و ۲ تا 6 ایمپلنت در فک پایین قرار میگیرند. توزیع این ایمپلنتها بر اساس ساختار دهانی بیمار توسط دندانپزشک تعیین میشود.
برای بیمارانی که هیچ دندانی ندارند، سه نوع پروتز وجود دارد:
- پروتزهای ثابت پشتیبانی شده توسط ایمپلنت،
- پروتزهای متحرک پشتیبانی شده توسط ایمپلنت،
- پروتزهای All on 4 و All on 6.
همچنین بخوانید : قیمت ایمپلنت کامل فک بالا و پایین در اصفهان
برای اطلاعات بیشتر درباره این پروتزها، میتوانید با ما تماس بگیرید.
هزینه ایمپلنتهای ۳۲ دندانی بر اساس درمان برنامهریزی شده تعیین میشود. برای کسب اطلاعات بیشتر درباره قیمتها، میتوانید با ما تماس بگیرید و از خدمات مشاوره رایگان ما بهرهمند شوید.
قیمت ایمپلنت کامل در اصفهان وابسته به تعداد و برند پایه، هزینه درمان های جانبی و نوع روکش در هر فرد وابسته به بودجه و تشخیص پزشک متفاوت می باشد و قیمت ایمپلنت یک فک در حدود 66,000,000 الی 300,000,000 میلیون تومان و ایمپلنت کامل فک بالا و پایین پروتز ثابت متکی بر ایمپلنت حدود 300,000,000 الی 470,000,000 تومان هزینه خواهد داشت.
ایمپلنت دندان یک درمانی است که می تواند از بی دندانی یک دندان تا کل دهان را درمان کند. در صورتی که فرد تمام دندان های یک فک یا کل دندان های خود را از دست داده باشد، از درمان ایمپلنت کامل فک استفاده می شود.
آیا ایمپلنت درد دارد؟
هنگام کاشت ایمپلنت به علت استفاده از بی حسی ،دردی احساس نمیشود و همه بیماران ما از اینکه اصلا متوجه گذاشتن پیچ ایمپلنت نمیشوند شگفت زده میشوند.
البته بعد از از بین رفتن اثر بی حسی اگر از مسکن ها استفاده نکنیم درد میتواند بسیار شدید باشد که همین دلیل باید از مسکن حتما استفاده شود و نوع مسکن هم با تشخیص پزشک مشخص میشود و معمولا مسکن های N-SAID تجویز میشود.
معمولا نیاز است که 24 تا 48 ساعت اول حتما مسکن استفاده شود و پس از آن درد بسیار کم میشود و حتی گاهی بیماران بعد از 48 ساعت از مسکن استفاده نمیکنند
مراحل کاشت ایمپلنت چگونه است؟
به طور کلی میتوان مراحل جایگزینی دندان با ایمپلنت را در 4 مرحله خلاصه کرد:
- مرحله جراحی:در این مرحله ایمپلنت با برشی کوچک بر روی لثه یا به روش پانچ(بدون برش لثه)داخل استخوان قرار میگیرد.
- مرحله بستن هیلینگ اباتمنت و فرم دادن لثه:بعد از 3 تا 4 ماه که ایمپلنت به استخوان جوش خورد و به استحکام کامل رسید یک فرم دهنده لثه بر روی آن قرار میگیرد تا لثه فرم روکش را بگیرد تا در مرحله نهایی روکش زیبایی ساخته شود
- مرحله قالبگیری:مرحله مهمی است که باید قالبی دقیق از فک و ایمپلنت ثبت شود تا ساخت روکشی دقیق انجام شود گاهی بین این مرحله و مرحله چهارم روکش در دهان امتحان میشود و سپس باز به لابراتوار میرود تا اصلاح شود
- مرحله تحویل روکش:در این مرجله روکش بصورت پیچ شونده یا سمان شونده در دهان قرار میگیرد و به فیکسچر(پیچ) متصل میگردد.
در ویدیو بالا میتوانید مراحل کاشت یک دندان را بصورت شماتیک ملاحظه بفرمایید
مراقبت های بعد از جراحی ایمپلنت دقیقا چه مواردی هستند؟
اگر همین الان جراحی ایمپلنت شما تمام شده است حتما این موارد را رعایت کنید:
- در 24 ساعت ابتدایی از یخ پک ژله ای بر روی پوست ناحیه جراحی شده استفاده کنید.
این کار به کاهش درد و تورم بعدی بسیار کمک میکند
در 24 ساعت دوم بعد از جراحی نه سرما و نه گرما بر روی ناحیه نگذارید
- از 48 ساعت به بعد از زمان جراحی پک گرما بر روی ناحیه قرار دهید تا ورم و درد کاهش پیدا کند.
- در 48 ساعت ابتدایی از مصرف غذاهای داغ و سرخ شده خودداری کنید.
- در 48 ساعت ابتدایی غذا های شما باید نرم(مثل سوپ) و با دمای ولرم و سرد شده استفاده شوند.
- اگر در محل جراحی گاز استریل قرار داده شده است تا 1 ساعت آن را برندارید و آب دهان خود را تف نکنید.
- حتما از مسکن ها و آنتی بیوتیک های خود که برای شما بعد از جراحی تجویر میشود استفاده کنید.
- از فشار دادن محل جراحی با دست یا زبان بپرهیزید.
- بعد از 48 ساعت از دهانشویه کلرهگزیدین روزی دوبار استفاده کنید.
طول دوره درمان ایمپلنت چقدر است؟
این موضوع تا حد بسیار زیادی به محل دندان و تعداد ایمپلنت بستگی دارد.عموما درمان ایمپلنت یک تا پنج دندان با ایمپلنت کره ای حدود 4 ماه تا تحویل روکش زمان میبرد و اگر هر دو فک بصورت کامل به بازسازی با ایمپلنت احتیاج داشته باشد حدود 6 تا 7 ماه زمان برای بازسازی کامل فک و دندان دار شدن کامل دو فک وقت لازم است زیرا بعد از مرحله قالبگیری چندین مرحله از جمله ثبت رابطه دو فک ،امتحان فریم و امتحان دندان ها قبل از تحویل نهایی لازم است.
البته در صورتی که از ایمپلنت فوری سوئیسی استفاده شود میتوان بصورت فوری قالبگیری روکش را انجام و در طول 2 تا 3 هفته برای تک دندان و یا دو سه دندان روکش ساخت.
همچنین با ایمپلنت سوئیسی فوری بازسازی دو فک هم روند سریع تری دارد به طوری که در حدود 2 ماه میتوان تا تحویل نهایی روکش را به انجام رساند.
بهترین زمان کاشت ایمپلنت چه زمانی است؟
بهترین زمان کاشت ایمپلنت دندان بستگی به شرایط خاص هر فرد و وضعیت دهان و دندان او دارد. اما به طور کلی، موارد زیر میتوانند به عنوان راهنما در نظر گرفته شوند:
بلافاصله پس از کشیدن دندان: در برخی موارد، میتوان ایمپلنت را بلافاصله بعد از کشیدن دندان کاشت. این روش به نام “کاشت ایمپلنت فوری” شناخته میشود و میتواند به حفظ ساختار استخوان فک کمک کند.
4 تا 8 هفته بعد از کشیدن دندان: قبل از کاشت ایمپلنت، باید به وجود استخوان کافی در محل کاشت اطمینان حاصل کرد. در صورتی که استخوان کافی وجود نداشته باشد، ممکن است نیاز به پیوند استخوان باشد که میتواند زمان بیشتری به فرآیند اضافه کند.
پس از درمان بیماریهای دهانی: اگر فرد دچار عفونت یا بیماری لثه باشد، معمولاً باید ابتدا این مشکلات درمان شوند و سپس ایمپلنت کاشته شود.
انتظار برای بهبود ناحیه حدود 3 تا 6 ماه و سپس کاشت ایمپلنت: در برخی موارد، ممکن است نیاز باشد که پس از انجام برخی از درمانها (مانند کشیدن دندان یا درمان عفونت)، چند ماه انتظار کشیده شود تا ناحیه بهبود یابد و آماده کاشت ایمپلنت شود.
بهتر است با دندانپزشک یا جراح دهان و دندان خود مشورت کنید تا بهترین زمان برای کاشت ایمپلنت بر اساس وضعیت خاص شما مشخص شود
همچنین در مقاله ای کامل تر به این سؤال پاسخ داده ایم: بهترین زمان کاشت ایمپلنت


ایمپلنت فوری یک روزه در اصفهان:
بر اساس آمار انجمن دندانپزشکی ایران، ۶۸٪ بیماران به دلیل ترس از بیدندانی طولانیمدت، ایمپلنت را به تأخیر میاندازند. این در حالی است که ایمپلنت فوری یک روزه در اصفهان به عنوان راهکاری انقلابی، امکان بازگرداندن لبخند و عملکرد دندان را تنها در ۲۴ تا ۴۸ ساعت فراهم میکند. این روش بهویژه برای افراد با مشاغل عمومی مهم (مانند مدیران، هنرمندان و مجریان) که حفظ زیبایی ظاهری برای آنها حیاتی است، گزینهای ایدهآل محسوب میشود.
در این روش ایمپلنت بلافاصله پس از عمل جراحی خارج کردن دندان، داخل حفره دندان کشیده شده جایگذاری می شود تا عمل جوش خوردن استخوان با ایمپلنت صورت بگیرد و در این روش پس از جراحی ایمپلنت،بلافاصله در همان روز یا نهایتا 48 ساعت بعد تاج موقتی روی ایمپلنت قرار داده می شود و در مدت جوش خوردن استخوان باقی می ماند تا زیبایی لبخند با این روکش موقت از روز اول جراحی تامین میشود. سپس در پایان دوره التیام یا جوش خوردن، دندان موقتی با روکش دائمی جایگزین می شود.در این روش ( ایمپلنت فوری) بیمار هیچ روزی بدون دندان نمی ماند و این روش برای بسیاری از کسانی که مشاغل مهم دارند استفاده میشود
در بیماری که ویدئو آن در پایین وجود دارد یک دندان همزمان کشیده شد و ایمپلنت فوری(سوئیسی) کاشته شد و و پیوند استخوان انجام شد و همزمان روکش موقت تحویل داده شد.
در روش معمولی کاشت ایمپلنت دندان پس از کشیدن دندان باید موقتاً جای آن را خالی بگذارید تا زمانی که محل کشیدن دندان التیام پیدا کند و استخوان ساخته شود . سپس پایه ایمپلنت در استخوان فک کاشته میشود و باز هم باید چند ماه منتظر بمانید تا زمانی که ایمپلنت دندان آماده دریافت روکش شود. بنابراین ممکن است چهار تا شش ماه جای دندانتان خالی بماند و نتوانید از ایمپلنت خود استفاده کنید. اما با روش کاشت ایمپلنت فوری دندان توسط دکتر محمدامین روشن پور دارنده فلوشیپ ایمپلنت این محدودیتها برطرف شده است. به این معنی که پس از کشیدن دندان میتوانید بلافاصله ایمپلنت کاشت و در همان جلسه روکش موقتی بر روی آن نصب کنید.
سوالات متداول:
❓ آیا همه میتوانند ایمپلنت فوری انجام دهند؟
→ نیاز به حداقل تراکم استخوان D3 که در معاینات و تصاویر رادیوگرافی قبل از کار مشخص میشود و عدم عفونت فعال
❓ میزان موفقیت این روش چقدر است؟
→ طبق مطالعه ۲۰۲۳ مجله IJOMFS
، ۹۴.۷٪ موفقیت در ۵ سال اول گزارش شده است.
همچنین بخوانید: ایمپلنت فوری یک روزه با روکش در اصفهان (ایمپلنت یک روزه)
در ویدئو بالا یک ایمپلنت فوری سوئیسی دقیقا بلافاصله بعد از کشیدن دندان در محل کشیده شده کاشته شده و سپس فورا در همان جلسه روکش موقت ساخته شد و مراجعه کننده با دندان از مطب خارج شد

مراقبت های بعد از ایمپلنت فوری چیست؟
مراقبت مناسب از ناحیه اطراف ایمپلنت در چند ماه اول پس از جراحی برای پیشگیری از عفونت و اطمینان از عدم اعمال نیروی بیش از حد به ایمپلنت، اهمیت زیادی دارد. در صورتی که انجام این سطح از مراقبت و نگهداری برای بیمار مشکل است، بهتر است استفاده از ایمپلنت های مرسوم دندان را در نظر بگیرد که در دو مرحله جراحی انجام می شود.
این نوع ایمپلنت مناسب افرادی است که سلامت عمومی و سلامت دهانی و بهداشت مناسبی دارند.
دندان قروچه (bruxism) یا بهم فشردن دندان های نیز تاثیر منفی بر درمان ایمپلنت فوری میگذارد چون فشار زیادی بر تاج و ایمپلنت که بصورت کامل جوش نخورده وارد می کند.
بیمارانی که ایمپلنت دندانی استفاده می کنند باید به بهداشت مناسب دهان پایبند باشند در غیر اینصورت ممکن است بافت اطراف فیکسچر دچار عفونتی مشابه بیماری لثه با عنوان پری ایمپلنتایتیس شود. این وضعیت در صورت عدم درمان فوری می تواند به عدم موفقیت ایمپلنت منجر شود.
داروهای تجویز شده باید درست و به موقع مصرف شوند.
تا 2 هفته پس از جراحی ایمپلنت دندان باید از فعالیت های سنگین ورزشی پرهیز شود.
در موارد ایمپلنت فوری باید حتما حتما تا 3هفته غذاها و خوراکی های سفت مصرف نشوند.
اطراف ایمپلنت باید دقیق مسواک زده شود استفاده شود.
ایمپلنت با دوام و با کیفیت چه ویژگی هایی دارد؟
- این ایمپلنت ها از مواد با کیفیت ساخته شده اند.
- دارای سطوح پوششی تیتانیومی خاصی هستند که با روش های ویژه ای بصورتی شده اند که استخوان بهتر به این ایمپلنت ها جوش میخورد(surface treatment)
- طراحی و شکل پیچ این ایمپلنت ها و دهانه اتصال روکش به آنها ویژگی های خاصی دارد و مکانیک نیرو و بهتر پخش شدن نیروها در آن ها و استخوان لحاظ شده است.
به طور کلی میتوان گفت ایمپلنت های دندانی که مورد تایید FDA (سازمان غذا و دارو ایالات متحده آمریکا) و CE (تاییدیه اتحادیه اروپا) باشند مطمئنا آزمون های استاندارد بسیار مهمی را پشت سر گذاشته اند و همگی این ایمپلنت ها به شرطی که به روش درست و توسط فرد با تبحر بالا در زمینه کاشت ایمپلنت استفاده شوند درصد موفقیت بسیار بالایی خواهند داشت.
در مرکز تخصصی ایمپلنت دکتر روشن پور در اصفهان که تجربه و تبحر بالایی در کاشت ایمپلنت دارند همگی ایمپلنت های کار شده تاییدیه FDA و CE را دارا میباشند.

اوردنچر در اصفهان
قیمت اوردنچر با پایه ایمپلنت وابسته به تعداد پایه ایمپلنتی است که در درون استخوان قرار می گیرد
اوردنچر نیز یکی از انواع ایمپلنت دندان است که برای بی دندانی گسترده استفاده می شود و در این درمان یک عدد پروتز کامل شبیه دندان مصنوعی سنتی بر روی پایه های ایمپلنت سوار می شود و به عنوان تکیه گاه آن قرار می گیرد.
در این روش از 2 تا 5 ایمپلنت در هر فک قرار میگیرد و یک دست دندان مصنوعی روی ایمپلنت ها چفت میشود و دیگر مثل دندان مصنوعی معمولی به راحتی تکان نمیخورد یا بیرون نمی افتد.(همچنین بخوانید: اوردنچر چیست؟)

چگونه بهترین دکتر ایمپلنت اصفهان را بشناسیم؟
انتخاب بهترین دکتر ایمپلنت در اصفهان میتواند تأثیر زیادی بر روی نتیجه نهایی درمان و سلامت دهان و دندان شما داشته باشد. برای این منظور، در این مقاله به بررسی نکات کلیدی برای شناسایی بهترین دندانپزشکان ایمپلنت میپردازیم.
تجربه و تخصص پزشک
یکی از مهمترین عوامل در انتخاب دکتر ایمپلنت، تجربه و تخصص اوست. پزشکان با سابقهی طولانیتر معمولاً با چالشهای مختلفی که ممکن است در طول درمان به وجود بیاید، آشنا هستند. بنابراین، بررسی سوابق حرفهای و تعداد عملهای موفق انجام شده توسط پزشک میتواند به شما در انتخاب بهتر کمک کند. همچنین، برخی پزشکان ممکن است در زمینههای خاصی از ایمپلنت، مانند ایمپلنتهای دندانی کامل دو فک یا ایمپلنتهای فوری، تخصص بیشتری داشته باشند.
مدارک تحصیلی و گواهینامهها
مدارک تحصیلی و گواهینامههای تخصصی پزشک نیز از دیگر شاخصهای مهم در ارزیابی اوست. دکترانی که دورههای تخصصی و کارگاههای آموزشی را در زمینه ایمپلنت گذراندهاند، معمولاً توانایی بیشتری برای انجام این نوع درمان دارند. بنابراین، حتماً از پزشک خود بخواهید تا مدارک و گواهینامههای مربوطه را به شما نشان دهد.
نظرات و تجربیات بیماران قبلی
نظرات و تجربیات بیماران قبلی یکی از منابع معتبر برای ارزیابی کیفیت خدمات دکتر ایمپلنت است. با جستجو در اینترنت و مطالعه نظرات موجود در سایتهای معتبر، میتوانید اطلاعات مفیدی درباره کارایی و رفتار پزشک به دست آورید. همچنین، ارتباط با افرادی که تجربه مشابهی داشتهاند، میتواند به شما در انتخاب بهترین دندانپزشک برای ایمپلنت در اصفهان کمک کند. بررسی نظرات مثبت و منفی میتواند به شما در داشتن یک دیدگاه جامع و واقعبینانه کمک کند.
تجهیزات و تکنولوژیهای موجود در کلینیک
توجه به تجهیزات و تکنولوژیهای موجود در کلینیک نیز از اهمیت بالایی برخوردار است. کلینیکهایی که از تجهیزات مدرن و پیشرفته استفاده میکنند، معمولاً نتایج بهتری را به همراه خواهند داشت. بررسی این موضوع که آیا کلینیک از فناوریهای روز دنیا مانند ۳D Imaging یا CAD/CAM در فرآیند ایمپلنت استفاده میکند یا خیر، میتواند به شما در انتخاب بهترین دکتر ایمپلنت در اصفهان کمک کند.
مشاوره و پیگیری بعد از درمان
نحوهی ارائه مشاوره و پیگیری بعد از درمان یکی دیگر از نکات مهم است. دکترانی که به بیماران خود توجه ویژهای دارند و پس از انجام عمل، برای پیگیری وضعیت بیمار وقت میگذارند، معمولاً گزینههای بهتری برای درمان هستند. این نوع تعاملات میتواند به شما کمک کند تا احساس راحتی بیشتری در روند درمان داشته باشید و در صورت بروز هر گونه مشکل، سریعاً اقدام کنید.
بهترین دکتر ایمپلنت اصفهان: دکتر محمدامین روشن پور
در جستجوی بهترین دکتر ایمپلنت در اصفهان، نام دکتر محمدامین روشن پور به عنوان یکی از برجستهترین متخصصین این حوزه به چشم میخورد. دکتر روشن پور با تأکید بر کیفیت درمان و رضایت بیماران، توانسته است جایگاه ویژهای در میان دندانپزشکان اصفهان پیدا کند. او دارای مدرک دکتری حرفهای دندانپزشکی از دانشگاه علوم پزشکی کرمان ودارای فلوشیپ ایمپلنت از آلمان است، که این امر نشاندهندهی دانش و تخصص بالای او در این زمینه میباشد.همچنین ایشان در کارگاه ها و دوره های تخصصی بسیاری در زمینه ایمپلنت شرکت کرده اند و همیشه در زمینه ایمپلنت به روز و آپدیت میباشند.دکتر محمدامین روشن پور، با تحصیلات عالیه در رشته دندانپزشکی و تخصص در ایمپلنت، به عنوان یکی از برترین پزشکان این حوزه شناخته میشود. ایشان با بیش از ۱۰۰۰ درمان موفق و تجربه ۶ ساله، خدمات متنوعی را در مطب خود واقع در اصفهان ارائه میدهند. در این مقاله، به بررسی ویژگیها و خدمات دکتر روشن پور پرداخته و دلایل انتخاب ایشان به عنوان بهترین گزینه برای درمان ایمپلنت دندانی را مورد بررسی قرار خواهیم داد.
تجربه و مهارتهای کلینیکی
دکتر روشن پور با سالها تجربه در زمینه ایمپلنت و درمانهای دندانپزشکی، مهارتهای کلینیکی منحصر به فردی دارد. او در طول سالها، به درمانهای پیچیدهای پرداخته و توانسته است نتایج بسیار مثبتی را برای بیماران خود به ارمغان آورد. استفاده از تکنولوژیهای نوین و تجهیزات پیشرفته در کلینیک او، باعث میشود که فرایند ایمپلنت به صورت ایمن و بدون دردسر انجام شود.
ایمپلنت با ضمانت اصفهان
ایمپلنت های کار شده توسط دکتر روشن پور دارای ضمانت و گارانتی قطعات هستند. با ارائه ضمانت بر روی ایمپلنتها، اطمینان حاصل میشود که بیماران از نتایج طولانیمدت و رضایتبخش برخوردار شوند. پس اگر ایمپلنت شما به هر دلیلی جوش نخورد ایمپلنت شما دارای ضمانت خواهد بود و جای نگرانی وجود ندارد. ایمپلنت سوئیسی در مرکز دکتر روشن پور در اصفهان با ضمانت مادام العمر ارائه میشود.
رضایت بیماران و نظرات مثبت
یکی از عواملی که دکتر روشن پور را به عنوان بهترین دکتر ایمپلنت اصفهان معرفی میکند، رضایت بالای بیماران از خدمات اوست. نظرات مثبت بیماران در مورد تجربههای درمانیشان نشاندهندهی کیفیت بالای خدمات و توجه ویژه به نیازهای هر بیمار است. دکتر روشن پور به صورت مستمر در تلاش است تا با ارائه مشاورههای دقیق و شخصیسازی شده، بهترین تجربه را برای بیماران خود فراهم آورد.
خدمات تخصصی ارائه شده
کلینیک دکتر محمدامین روشن پور به ارائه خدمات متنوعی در زمینه ایمپلنت دندان میپردازد. از مشاورههای اولیه تا انجام جراحیهای پیچیده، او تمامی مراحل درمان را با دقت و حساسیت بالا انجام میدهد. این خدمات شامل ایمپلنتهای دندانی، ترمیم دندانهای از دست رفته و همچنین درمانهای زیبایی دندان میباشد. به همین دلیل، بیماران میتوانند با اطمینان خاطر به کلینیک او مراجعه کنند و از تجربهای حرفهای بهرهمند شوند.
ایمپلنت با قیمت مناسب در اصفهان
در مرکز تخصصی دکتر روشن پور سعی شده با در نظر گرفتن شرایط اقتصادی جامعه قیمت گذاری خدمات بصورتی باشد تا ایمپلنت درمانی گران نباشد و اکثر افرادی که بنا به هر دلیلی دندان های خود را از دست داده اند بتوانند زیبایی و عملکرد دندان های خود را با قیمت مناسب دوباره بدست بیاورند.
فرآیند ایمپلنت دندان با دکتر روشن پور
فرآیند درمان ایمپلنت دندان تحت نظر دکتر روشن پور به صورت مرحلهای و با دقت انجام میشود. ابتدا، مشاوره کامل با بیمار صورت میگیرد تا نیازها و انتظارات او بررسی شود. سپس با استفاده از تکنولوژیهای پیشرفته، عکسبرداری و ارزیابی دقیق از وضعیت دندانها انجام میشود. این مراحل به دکتر روشن پور کمک میکند تا بهترین طرح درمان را برای هر بیمار طراحی کند. در نهایت، با استفاده از تجهیزات مدرن و مواد با کیفیت، ایمپلنتها به صورت دقیق و حرفهای کاشته میشوند.
تماس تلفنی با دکتر روشن پور
یکی از سریعترین و آسانترین روشها برای تعیین وقت ملاقات با دکتر روشن پور، تماس تلفنی با شماره 09399016714 است. با این روش، شما میتوانید به راحتی با منشی مطب تماس بگیرید و زمان مناسب خود را برای مراجعه به دکتر مشخص کنید. این راه ارتباطی به شما این امکان را میدهد که بهطور مستقیم سوالات خود را مطرح کرده و اطلاعات لازم را بهدست آورید.
سوالات متداول مرکز ایمپلنت دکتر روشنپور
۱. دندان از دست دادهام و نمیتوانم راحت بخندم یا غذا بخورم. آیا ایمپلنت میتواند مشکل من را حل کند؟
بله. ایمپلنت دندان راهحلی دائمی برای بیدندانی است. پس از کاشت ایمپلنت میتوانید بهراحتی غذا بخورید، با اعتمادبهنفس لبخند بزنید و دیگر نگران جای خالی دندان نباشید.
۲. آیا خدمات شما فقط مخصوص افرادی است که کاملاً بیدندان هستند؟
خیر. چه یک دندان را از دست داده باشید، چه چند دندان یا بیدندانی کامل، در مرکز ما امکان بازسازی لبخند و عملکرد طبیعی دهان برای همه شرایط فراهم است.
۳. چرا مرکز ایمپلنت دکتر روشنپور را انتخاب کنم؟
ما خدمات را با قیمت منصفانه، استفاده از قطعات اصلی، اخلاقمداری، شرایط پرداخت اقساطی و پشتیبانی بلندمدت ارائه میدهیم. همچنین دکتر روشنپور دارای فلوشیپ ایمپلنت از دانشگاه کلن آلمان و بیش از ۷ سال تجربه تخصصی است.
۴. آیا هزینهها شفاف است یا ممکن است در طول درمان افزایش پیدا کند؟
تمام هزینهها از ابتدا بهصورت شفاف و دقیق به شما اعلام میشود. هیچ هزینه پنهان یا اضافهای وجود ندارد.
۵. قیمت ایمپلنت دندان در مرکز شما چقدر است؟
در مرکز ما، در سال ۱۴۰۴، قیمت پایه ایمپلنت بههمراه روکش نهایی بین ۱۸ میلیون تومان تا ۲۵ میلیون تومان متغیر است؛ بسته به شرایط فک، نوع ایمپلنت و نیاز به جراحی جانبی.
۶. آیا مشاوره اولیه و معاینه رایگان است؟
بله. معاینه، طرح درمان و مشاوره کاملاً رایگان انجام میشود تا با خیال راحت تصمیم بگیرید.
۷. آیا خدمات شما دارای ضمانت یا پشتیبانی خاصی است؟
بله. تمامی ایمپلنتها با استفاده از قطعات اصلی و با ضمانت نصب میشوند. همچنین در صورت نیاز، پشتیبانی و خدمات پس از درمان نیز ارائه میشود.
۸. من در حال حاضر امکان پرداخت کامل هزینه ایمپلنت را ندارم. آیا میتوانم اقساطی پرداخت کنم؟
بله، ما شرایط پرداخت اقساطی را در نظر گرفتهایم تا درمان برای شما آسانتر شود. کافی است با ما تماس بگیرید تا شرایط دقیق را توضیح دهیم.
۹. چطور میتوانم برای مشاوره و ایمپلنت وقت بگیرم؟
کافی است با شماره ۰۹۰۰۱۹۱۴۰۸۰ تماس بگیرید. بعد از تماس، زمان مشاوره رایگان تعیین میشود.
۱۰. فرآیند دریافت خدمات ایمپلنت در مرکز شما به چه صورت است؟
ابتدا تماس میگیرید و وقت مشاوره میگیرید. در جلسه رایگان، معاینه و طرح درمان انجام میشود. سپس در صورت رضایت، با پرداخت بیعانه نوبتتان رزرو میشود و مراحل درمان انجام خواهد شد. در نهایت، خدمات ما شامل پشتیبانی بلندمدت هم هست.
۱۱. آدرس و موقعیت مرکز شما کجاست؟
اصفهان، توحید میانی، کوچه ۱۲، پلاک ۱۹، واحد ۴
شماره تماس: ۰۹۰۰۱۹۱۴۰۸۰
۱۲. آیا میتوانم قبل از تصمیمگیری، تجربه بیماران قبلی را ببینم؟
بله. در وبسایت و شبکههای اجتماعی ما ویدیوهایی از بیماران راضی که چند سال از ایمپلنتشان گذشته منتشر شده است. میتوانید آنها را مشاهده کنید و با اطمینان بیشتری تصمیم بگیرید.
13.حداقل پیشپرداخت ایمپلنت اقساطی در اصفهان چقدر است؟
حداقل پیش پرداخت معمولاً با نصف کل هزینه شروع میشود و باقیمانده بهصورت اقساط ماهیانه دریافت میشود
14.طول درمان ایمپلنت اقساطی چقدر است؟
مدتزمان درمان بستگی به شرایط فک و لثه دارد، اما معمولاً بین ۳ تا ۶ ماه طول میکشد.
15.آیا ایمپلنت اقساطی بهره(سود) دارد؟
خیر، شرایط اقساطی ما بدون بهره است تا بیماران بتوانند با آرامش درمان خود را انجام دهند
16.چه مدارکی برای ثبتنام ایمپلنت اقساطی لازم است؟
برای بهرهمندی از شرایط اقساطی فقط چک صیادی (بنفش) کفایت میکند
17.آیا کیفیت ایمپلنت اقساطی کمتر از ایمپلنت نقدی است؟
خیر، تمام مواد و تجهیزات همان کیفیت ایمپلنت نقدی را دارد، تنها شرایط پرداخت متفاوت است













